
强直性脊柱炎在各方面里存在的危害
很多人会问得了强直性脊柱炎怎么办?很多强直性脊柱炎患者在患病以后匆忙求医,没有到正规…[详情]
提问病情
强直性脊柱炎到了晚期有多严重
强直性脊柱炎到了晚期有多严重?这病的确是一种慢性疾病,会随着病情发展,出现不同的症状…[详情]
提问病情
强直性脊柱炎都有哪些主要的危害
强直性脊柱炎是一种对患者伤害极大的疾病,这类疾病发病率和死亡率都越来越高。具体的引发…[详情]
提问病情
强直性脊柱炎对人体的危害具体有哪些
强直性脊柱炎的危害是多方面的,患上这种病后将会承受严重的疾病的折磨。因此患者在患上这…[详情]
提问病情
强直性脊柱炎会给患者身体带来哪些影响
对强直性脊柱炎是否严重主要的看患者本身的具体病 情,其实强直性脊柱炎在早期的症状并不…[详情]
提问病情
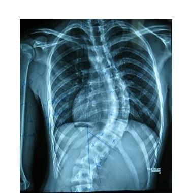
分析强直性脊柱炎晚期的病变产生的危害
身边越来越多的强直性脊柱炎患者让我们不得不重视这类疾病,前期的不重视将会导致晚期的严…[详情]
提问病情
肌肉畸形会给强直患者带来哪些病变
肌肉畸形会给强直患者带来哪些病变? 强直性脊柱炎危害 让人惊悚,他随着时间的推移对人的…[详情]
提问病情
强直性脊柱炎具体的危害有哪些
临床上, 强直性脊柱炎 的危害很大,骨科专家介绍说,生活中不少患有强直性脊柱炎的患者,…[详情]
提问病情
强直是怎样威胁到人们的健康
生活中得了强直性脊柱炎,很多患者都提心吊胆的, 生怕给自己的生命造成威胁。强直性脊柱…[详情]
提问病情
强直性脊柱炎是怎样危害到我们的健康的
强直性脊柱炎后果是什么呢?强直性脊柱炎是一种很常见的疾病,该病给患者的生活带来的伤害…[详情]
提问病情

针刀镜治疗

净血治疗

免疫吸附治疗

关节修复治疗

痛风

类风湿

强直性脊柱炎

风湿
-
- 编号
TF16010039 姓名:王先生 性别:男 年龄:41岁
- 病情
痛风 ①晚期 ②并发症 病史:12年+
- 治疗
治疗后手指关节、脚趾关节痛风石完全清除,血尿酸降至正常水平,手脚各关节痛感消失,关节活动恢复到正常状态。 ??
-
- 编号
LFS16020077 姓名:李女士 性别:女 年龄:52岁
- 病情
RA ①晚期 ②并发症 病史:8年+
- 治疗
疗后患者双膝下蹲自由,上下台阶无压力,双腕关节、双手掌指关节疼痛消失,双手指恢复关节功能,整个人面色恢复,身体各项机能均提升。
-
- 编号
QZ16030094 姓名:陈先生 性别:男 年龄:32岁
- 病情
AS ①晚期 ②重度 病史:5年+
- 治疗
治疗后骶髂关节疼痛消失,腰椎前屈、背伸侧弯活动自如,膝关节无压痛感,复查血沉、C反应蛋白、等各项检查均已达到临床康复的标准。
-
- 编号
FS16040026 姓名:刘奶奶 性别:女 年龄:74岁
- 病情
风湿性关节炎晚期 病史:40年+
- 治疗
治疗后患者左膝关节肿胀现象已消除。膝关节屈伸度有所增加,下蹲情况改善。患者自述双腕关节疼痛减轻,肿胀消除。






































